
Indice Argomenti
Il recupero del benessere sessuale dopo un tumore è importante e oltre ai molti rimedi locali per attenuare la difficoltà nei rapporti sessuali che spesso però non sono definitivi, da qualche tempo viene impiegato il laser vaginale per il “ringiovanimento delle parti intime”.
Da alcuni anni infatti, e in tutto il mondo, per ritrovare il benessere sessuale, il sorriso e contrastare i disturbi legati all’atrofia (secchezza) vulvo-vaginale da carenza ormonale, il trattamento più efficace a cui si rivolgono sempre più donne è proprio il laser vaginale.
Questo perché è una terapia altamente efficace, non invasiva e non iniettiva. Inoltre, non stimola la produzione di estrogeni nemmeno a livello locale.
Laser vaginale: per chi è e cosa fa
PER CHI E’ PENSATO?
Il laser vaginale è consigliato alle donne che non possono seguire terapie farmacologiche ed è particolarmente indicato per le donne con tumori al seno che stanno seguendo una terapia adiuvante con inibitori delle aromatasi (ormonoterapia).
PERCHE’?
Migliora la secchezza e il bruciore vaginale e riduce il dolore durante i rapporti sessuali che possono riprendere 3/4 giorni dopo l’applicazione. Il laser vaginale non è doloroso, purché non venga eseguito se sono in corso infiammazioni vaginali o abrasioni della mucosa.
Laser terapia vaginale: come funziona e come agisce il laser
Il laser vaginale agisce tramite un apposito manipolo che emette delicati impulsi all’interno della vagina. L’energia trasmessa:
- aumenta l’irrorazione sanguigna
- apporta maggior nutrimento
- stimola la produzione di collagene e fibre elastiche attraverso la ri-attivazione dei fibrociti in fibroblasti, le cellule deputate al buon funzionamento dell’elasticità di tutti i tessuti incluso quello vulvo-vaginale.
La mucosa viene in questo modo rigenerata e di conseguenza ringiovanisce ritornando ad essere idratata, lubrificata ed elastica con un miglioramento significativo della risposta sessuale ed anche dei sintomi urinari e genitali.
Laser ginecologico e laser vaginale:ci sono differenze?
Si tratta di due modi di chiamare la medesima terapia che adopera la tecnologia del laser per riparare i tessuti vaginali.
Laser vaginale: tipologie e caratteristiche
Le laser terapie vaginali più comuni sono: il Laser CO2 frazionato (MonnaLisa Touch™) e il Laser Erbium. Nel dettaglio, i due sistemi agiscono in maniera leggermente diversa, ottenendo risultati simili ma non identici.
IL LASER VAGINALE CO2
Il laser CO2 frazionato (MonnaLisa Touch™) ha dei parametri modulabili ed è in grado di stimolare il tessuto vaginale e vulvare fino a 5 livelli di profondità a seconda delle esigenze soggettive della donna. Questo meccanismo di azione, di tipo microablativo, stimola la sintesi ex-novo di collagene e matrice cellulare anche negli strati più profondi con una buona azione sul ripristino dell’elasticità oltre che sullo spessore dell’epitelio vulvo-vaginale con benefici che possono durare anche fino ad un anno o più dalla fine del trattamento.
IL LASER VAGINALE ERBIUM
Il laser-Erbium agisce a livello più superficiale e produce un effetto termico sulla parete vaginale e vulvare. Il calore in primis riassembla fino al 30% delle fibre elastiche più corte superficiali e poi inizia la sintesi di nuove fibre di collagene che si protrae fino a 6 mesi. I benefici mediamente sono di poco inferiori all’anno.
Dove e quante sedute si eseguono?
DOVE
Le sedute di laser vaginale si eseguono in ambulatorio senza anestesia poiché è indolore e privo di effetti collaterali sia immediati che tardivi.
PRIMA DELLA SEDUTA
Prima della terapia è necessaria una visita ginecologica per valutare la situazione e per verificare cause di esclusione come: prolassi utero-vescicali importanti alterazioni pretumorali/tumorali di collo utero, vagina e vulva. Se c’è un’infezione va prima curata per proseguire.
QUANTE SEDUTE
Di solito nel caso del laser vaginale CO2 sono previste tre sedute di laser vaginale a distanza di 30-40 giorni, mentre nel caso del laser vaginale Erbium sono necessarie 4-5 sedute con cadenza mensile.
Nei casi più severi e nella menopausa indotta sono necessarie due ulteriori sedute. In questi casi il trattamento va iniziato almeno sei mesi dopo la fine delle terapie oncologiche e può essere eseguito durante la terapia adiuvante in donne con tumore mammario ormonosensibile (ormonoterapia).
DURATA DELLA SEDUTA
Ogni seduta dura 10 minuti circa e comprende sia il trattamento vaginale sia quello vulvare, più un ulteriore trattamento vaginale per il rinforzo del pavimento pelvico e della vescica nelle donne con incontinenza urinaria lieve e/o altri disturbi urinari come cistiti ricorrenti o post-coitali (quelle che insorgono entro 24-48 ore dopo un rapporto), urgenza e senso di incompleto svuotamento vescicale.
Nelle donne con disturbi urinari più accentuati si esegue anche un trattamento peri uretrale. L’uretra è il condotto che collega la vescica con l’esterno e si trova subito sotto il clitoride. Il suo corretto funzionamento previene le cistiti post coitali e controlla le piccole perdite involontarie di urina.
Benefici e costi del laser vaginale
I benefici ottenuti sono soggettivi indipendentemente dal tipo di laser usato. Solitamente i primi benefici, come riduzione di bruciore, prurito e secchezza delle parti intime, si avvertono già dopo la prima seduta.
Non ci sono casistiche importanti dopo i 2 anni poiché è una terapia piuttosto recente. Tuttavia una o due sedute di richiamo a distanza di un anno garantiscono un prosieguo dell’efficacia.
Rispetto al costo del laser vaginale, in regime privato:
- la prima seduta di Laser CO2 (MonnaLisa Touch™) costa 280€ / 300€ (in alcuni centri ci sono scontitiche per le donne con patologie oncologiche)
- le sedute di laser ad Erbium possono costare da 250€ fino a 350€.
Laser terapia vaginale: controindicazioni e avvertenze
Il trattamento di laser terapia vaginale non è un procedimento rischioso, ma è ugualmente fondamentale che esso venga eseguito da un medico specialista. Come già precedentemente spiegato infatti è necessaria una visita ginecologica per valutare la condizione della paziente ed escludere situazioni in cui il trattamento sarebbe controindicato come in caso di: prolassi utero-vescicali, importanti alterazioni pretumorali/tumorali di collo utero, vagina e vulva o infezioni, nel qual caso vanno risolte prima di proseguire.
I benefici del laser non sono duraturi e quindi una seduta annuale “di richiamo” è fondamentale per mantenerli nel tempo considerando che dopo un anno le mucose hanno un anno in più, e l’età non perdona.
Il consiglio è di fare la seduta “di richiamo” non appena la donna inizia a sentire nuovamente senso di secchezza o difficoltà alla penetrazione durante il rapporto sessuale. In questi casi si ottiene un beneficio duraturo per un altro anno, se passa più tempo potrebbe essere necessario fare 2 sedute.
Prestazione gratuita con il SSN
Alcuni ospedali offrono il trattamento di laser terapia (laser vaginale) in convenzione con il SSN che riconosce gratuitamente la prestazione alle donne con patologia oncologica
Il parere del professionista
Personalmente ho deciso per il MonnaLisa Touch™ per varie ragioni:
– sorgente laser CO2 con procedure innovative appositamente dedicate
– tecnologia tutta italiana, brevettata negli stabilimenti fiorentini della DEKA leader mondiale nello sviluppo di sistemi laser avanzati in campo medicale.
– validazione dei dati clinici con studi istologici ed ultrastrutturali
– oltre 500.000 trattamenti eseguiti in tutto il mondo con successo
– consigliata da AOGOI (Associazione dei Ginecologi Italiani) per i disturbi legati all’atrofia vaginale menopausale indotti e/o peggiorati dalle terapie oncologiche
– pubblicazioni sull’efficacia della procedura su autorevoli riviste scientifiche, come Climacteric (della Società Mondiale di Menopausa) e Menopause (della North American Menopause Society).
E poi mi piaceva il nome. In maggio 2015 stavo collaborando ad un progetto culturale su Leonardo da Vinci ed ho immaginato questo scoop giornalistico: “svelato il mistero dell’enigmatico e fascinoso sorriso della Gioconda di Leonardo. Monnalisa sorride perché ha ritrovato la sua femminilità. Un’intuizione del Genio da Vinci, ritrovata dai ricercatori DEKA in una segreta del Castello Reale di Windsor”.
Uso la tecnica MonnaLisa Touch™ da circa un anno e ho trattato circa 50 donne con risultati soddisfacenti non solo per loro ma anche per me, tra cui 5 dopo una parentesi tumore.

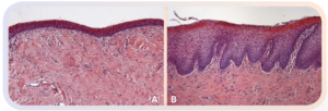
Mucosa vaginale prima e dopo il trattamento con MonaLisa Touch.
Monnalisa non ha età. Ho trattato donne giovani per rigenerare i tessuti vulvari danneggiati da vulvo-vaginiti ricorrenti o dal trattamento dei condilomi e donne con disturbi intimi dell’immediato post-partum. Ho trattato anche una donna di 78 anni per disturbi urinari che si portava dietro da 30 anni circa e che possiamo immaginare come le hanno condizionato la vita, ma … meglio tardi che mai.
Le maggiori richieste vengono da donne con disturbi come prurito, bruciore e secchezza vaginale, dolore durante i rapporti, lassità dei tessuti genitali ed incontinenza vescicale lieve in pre o post menopausa. Che siano da menopausa fisiologica o post oncologica questi disturbi vengono efficacemente trattati con la terapia laser.
Dott.ssa Fiammetta Trallo – Specialista in Ginecologia e Giornalista della Salute
Informazioni sull'autore
FILTRA PARENTESI
I più letti
Vuoi condividere il tuo punto di vista sull'argomento "Laser terapia vaginale: curare la secchezza vaginale"?
Ti potrebbe interessare anche...
Il periodo conclusivo delle cure, solitamente chiamato follow up oncologico, è un momento delicato dal punto di vista psicologico.
Consigli pratici e integratori naturali per far fronte alle vampate, i fastidiosi disturbi legati alla menopausa dovuta alle terapie oncologiche.
Se stai vivendo la menopausa dopo un tumore, spontanea o indotta dalle terapie, è comune avere disturbi come secchezza vaginale, dolore nei rapporti o calo del desiderio. In questa pagina trovi una panoramica delle opzioni più usate, dai rimedi non ormonali fino ai trattamenti che vanno sempre valutati con lo specialista, per capire cosa può essere più adatto alla tua situazione. Attenzione: se hai avuto un tumore ormonosensibile o stai seguendo una terapia ormonale, non tutte le soluzioni sono indicate. Le informazioni che seguono non sostituiscono il parere dell’oncologo o del ginecologo, ma possono aiutarti a orientarti e a preparare le domande giuste.

